Institute for Data Science and Artificial Intelligence

Spinal Muscle Segmentation and Characterisation

COLLABORATORS: Jude Meakin (Biomedical Physics), Jonathan Fulford (Medical Imaging), Karen Knapp (Medical Imaging), Greg Slabaugh (Computer Science, QMUL)
IDSAI Research Fellow: Dr Bertrand Nortier
 
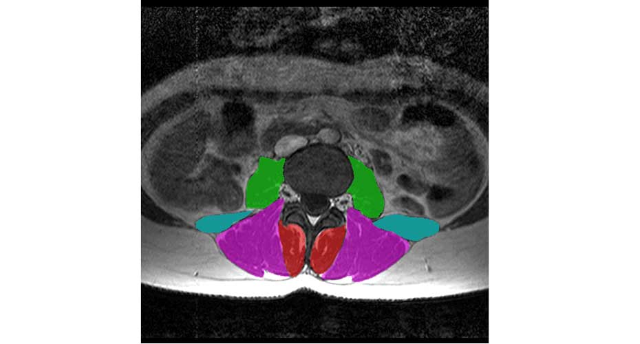
Description: Our project aims to develop computer software that can automatically assess spinal muscle size and quality from medical images. Our spine muscles are essential for controlling the movement of our upper body, allowing us to stand upright, adopt a range of postures, and lift objects from the ground. These muscles, however, are often smaller and fattier in people who have conditions such as back pain and osteoporosis. Smaller and fattier muscles indicate that the muscle has become weaker, making it less able to control the spine. However, we do not know whether muscle weakness is a symptom or a cause of these conditions. Large scale studies are required to answer this question, and these studies need suitable methods for quickly and accurately assessing muscle size and quality. Therefore, our project aims to develop computer software that can identify the spinal muscles in magnetic resonance images and then automatically calculate the muscle size and the amount and distribution of the fat within the muscle. Once we have developed our software, we will use it on images we already obtained to determine how muscle size and fat varies in people with and without osteoporosis.